出っ歯
舌に押されて上の前歯が前に出る場合や、上のあごが前に出ているために、舌で押されているのと同じような状態になっている様子です。上の前歯は下の前歯よりも2、3ミリ前に出ているのが通常ですが、出っ歯は、それ以上に前に出ている場合をいいます。舌の癖がある場合は、それを治しながら前に出た前歯の角度を変えるか、あるいは抜歯をするなどして隙間をつくり、出た歯を奥へ引き入れます。また、歯の形がいびつであったり、大き過ぎたりする場合には、整形なども同時に行います。最近のお子さまはあごが小さく、出てきた歯が口の中に納まらないような状態がよく見られます。
【治療例】
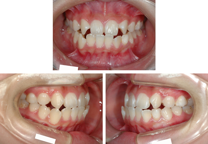
出っ歯
19歳3ヶ月女子 上顎前突
「治療内容」:上下顎第一小臼歯抜歯、上下顎マルチブラケット装置使用にて治療
「治療期間・回数」:動的治療期間3年、35回
「治療費用(税込)」:78万円程度
「リスク・副作用」:歯の移動に伴う痛みが生じる場合がある。装置の影響で口内炎が生じることがある。歯の舌側の装置の場合、装着後数日は発音障害が出ることがある。ブラッシングが不十分な場合に虫歯ができることがある。歯の移動の際、稀に歯根の吸収が起こることがある。矯正用ゴムを指示通りに使用しないと治療計画どおりの結果が得られないことがある。
上顎前突(小児)
9歳4ヶ月女児 上顎前突
「治療内容」:1次治療 拡大装置にて側方拡大、前歯部マルチブラケット装置にて調整後、機能的顎矯正装置による治療。
2次治療 非抜歯・上下顎マルチブラケット装置使用にて治療
「治療期間・回数」:1次治療 3年・28回、2次治療 3年・25回
「治療費用(税込)」:1次治療 40万円程度、2次治療 38万円程度
「リスク・副作用」:歯の移動に伴う痛みが生じる場合がある。装置の影響で口内炎が生じることがある。歯の舌側の装置の場合、装着後数日は発音障害が出ることがある。ブラッシングが不十分な場合に虫歯ができることがある。歯の移動の際、稀に歯根の吸収が起こることがある。矯正用ゴムを指示通りに使用しないと治療計画どおりの結果が得られないことがある。
すきっ歯
虫歯などで歯を失った場合、その部分を補うために残っている歯が動く場合があります。また、歯のサイズが小さく、歯茎を覆えない場合も歯と歯の間が空きます。舌や唇の圧力で歯がゆがんだりするのも、すきっ歯になる原因のひとつといえます。すきっ歯は、発音が上手くできない、食べものが挟まりやすく虫歯になりやすいなどリスクが大きく、また見た目の問題もあります。
【治療例】
すきっ歯
19歳9ヶ月女子 空隙歯列
「治療内容」:非抜歯、上下顎マルチブラケット装置使用ならびに舌癖訓練にて治療
「治療期間・回数」:動的治療期間2年6ヶ月、34回
「治療費用(税込)」:75万円程度
「リスク・副作用」:歯の移動に伴う痛みが生じる場合がある。装置の影響で口内炎が生じることがある。歯の舌側の装置の場合、装着後数日は発音障害が出ることがある。ブラッシングが不十分な場合に虫歯ができることがある。歯の移動の際、稀に歯根の吸収が起こることがある。矯正用ゴムを指示通りに使用しないと治療計画どおりの結果が得られないことがある。舌癖等の悪習癖により後戻りの可能性がある。
症例②
ダミー文章が入ります。ダミー文章が入ります。ダミー文章が入ります。ダミー文章が入ります。ダミー文章が入ります。ダミー文章が入ります。ダミー文章が入ります。ダミー文章が入ります。ダミー文章が入ります。
受け口
遺伝であることも多いのですが、舌が短くて上あごが刺激されず、発達が遅い場合も考えられます。
【治療例】
下顎前突(非抜歯)
8歳1ヶ月女児 下顎前突
「治療内容」:1次治療 リンガルアーチならびに可撤式装置による反対咬合改善後、上顎前方牽引装置使用にて顎成長管理
2次治療 非抜歯・上下顎マルチブラケット装置使用にて治療
「治療期間・回数」:1次治療 4年・38回、2次治療 3年6ヶ月・29回
「治療費用(税込)」:1次治療40万円程度、2次治療38万円程度
「リスク・副作用」:歯の移動に伴う痛みが生じる場合がある。装置の影響で口内炎が生じることがある。歯の舌側の装置の場合、装着後数日は発音障害が出ることがある。ブラッシングが不十分な場合に虫歯ができることがある。歯の移動の際、稀に歯根の吸収が起こることがある。矯正用ゴムを指示通りに使用しないと治療計画どおりの結果が得られないことがある。下顎の過成長により治療方針変更の可能性がある
下顎前突(非抜歯)
11歳10ヶ月男児 下顎前突、叢生
「治療内容」:非抜歯、リンガルアーチならびに可撤式装置による反対咬合改善後、上下顎マルチブラケット装置使用にて治療
「治療期間・回数」:動的治療期間3年、26回
「治療費用(税込)」:75万円程度
「リスク・副作用」:歯の移動に伴う痛みが生じる場合がある。装置の影響で口内炎が生じることがある。歯の舌側の装置の場合、装着後数日は発音障害が出ることがある。ブラッシングが不十分な場合に虫歯ができることがある。歯の移動の際、稀に歯根の吸収が起こることがある。矯正用ゴムを指示通りに使用しないと治療計画どおりの結果が得られないことがある。下顎の過成長により治療方針変更の可能性がある。
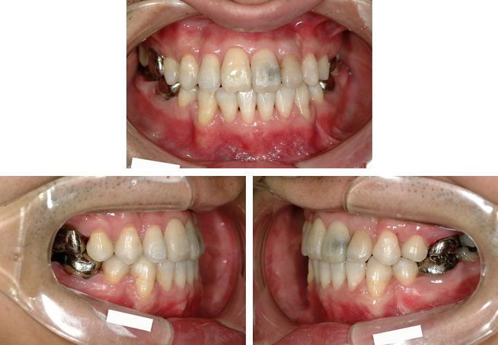
下顎前突(抜歯)
下顎前突(抜歯)
13歳3ヶ月女子 下顎前突、上顎両側側切歯先天性欠損
「治療内容」:下顎第一小臼歯抜歯、上下顎マルチブラケット装置使用にて治療
「治療期間・回数」:動的治療期間3年2ヶ月、29回
「治療費用(税込)」:75万円程度
「リスク:副作用」:歯の移動に伴う痛みが生じる場合がある。装置の影響で口内炎が生じることがある。歯の舌側の装置の場合、装着後数日は発音障害が出ることがある。ブラッシングが不十分な場合に虫歯ができることがある。歯の移動の際、稀に歯根の吸収が起こることがある。矯正用ゴムを指示通りに使用しないと治療計画どおりの結果が得られないことがある。
叢生
叢生(そうせい)とは、歯がガタガタであったり、重なって生えてしまう状態の事を言います。その他に乱杭歯(らんぐいば)なども叢生です。顎の大きさに対して歯の大きさや数合わない場合に歯が並ぶ十分なスペースがなく起こってしまいます。
【治療例】
叢生 (抜歯)
16歳0ヶ月女子 叢生
「治療内容」:上下顎第一小臼歯抜歯、上下顎マルチブラケット装置使用にて治療
「治療期間・回数」:動的治療期間2年6ヶ月、28回
「治療費用(税込)」:75万円程度
「リスク・副作用」:歯の移動に伴う痛みが生じる場合がある。装置の影響で口内炎が生じることがある。歯の舌側の装置の場合、装着後数日は発音障害が出ることがある。ブラッシングが不十分な場合に虫歯ができることがある。歯の移動の際、稀に歯根の吸収が起こることがある。矯正用ゴムを指示通りに使用しないと治療計画どおりの結果が得られないことがある。
叢生 (抜歯)
36歳女性 叢生、下顎両側側切歯先天性欠損
「治療内容」:上顎両側中切歯抜歯、上下顎マルチブラケット装置使用にて治療後、上顎両側側切歯形態修正
「治療期間・回数」:動的治療期間2年5ヶ月、30回
「治療費用(税込)」:78万円程度
「リスク・副作用」:歯の移動に伴う痛みが生じる場合がある。装置の影響で口内炎が生じることがある。歯の舌側の装置の場合、装着後数日は発音障害が出ることがある。ブラッシングが不十分な場合に虫歯ができることがある。歯の移動の際、稀に歯根の吸収が起こることがある。矯正用ゴムを指示通りに使用しないと治療計画どおりの結果が得られないことがある。
開咬
奥歯の大きさや長さ、あごの大きさの影響で噛み合わせの支点が変わり、噛み合うのは奥歯だけで前歯が噛み合っていない状態です。
奥歯の位置や高さを調整し、正しい位置で噛めるようにします。
【治療例】
開咬
8歳女児 開咬
「治療内容」:1次治療 舌癖訓練ならびに可撤式装置による治療後、2次治療 非抜歯・上下顎マルチブラケット装置使用にて治療
「治療期間・回数」:1次治療4年・34回、2次治療2年7ヶ月・19回
「治療費用(税込)」:1次治療40万円程度、2次治療38万円程度
「リスク・副作用」:歯の移動に伴う痛みが生じる場合がある。装置の影響で口内炎が生じることがある。歯の舌側の装置の場合、装着後数日は発音障害が出ることがある。ブラッシングが不十分な場合に虫歯ができることがある。歯の移動の際、稀に歯根の吸収が起こることがある。矯正用ゴムを指示通りに使用しないと治療計画どおりの結果が得られないことがある。舌癖等の悪習癖により後戻りの可能性がある。
見えにくい矯正
成人(抜歯)
成人 舌側矯正(抜歯)
22歳3ヶ月女性 上下顎前突、叢生
「治療内容」:上下顎第一小臼歯抜歯にて上下顎マルチブラケット装置使用による治療
「治療期間・回数」:動的治療期間2年10ヶ月、30回
「治療費用(税込)」:105万円程度
「リスク・副作用」:歯の移動に伴う痛みが生じる場合がある。装置の影響で口内炎が生じることがある。歯の舌側の装置により、装着後数日は発音障害が出ることがある。ブラッシングが不十分な場合に虫歯ができることがある。歯の移動の際、稀に歯根の吸収が起こることがある。矯正用ゴムを指示通りに使用しないと治療計画どおりの結果が得られないことがある。
成人 舌側矯正(非抜歯)
26歳5ヶ月女性 叢生
「治療内容」:上顎歯列の側方拡大装置による拡大後、非抜歯にて上下顎マルチブラケット装置使用により治療
「治療期間・回数」:動的治療期間3年、32回
「治療費用(税込)」:90万円程度
「リスク・副作用」:歯の移動に伴う痛みが生じる場合がある。装置の影響で口内炎が生じることがある。歯の舌側の装置により、装着後数日は発音障害が出ることがある。ブラッシングが不十分な場合に虫歯ができることがある。歯の移動の際、稀に歯根の吸収が起こることがある。矯正用ゴムを指示通りに使用しないと治療計画どおりの結果が得られないことがある。
埋伏歯
埋伏歯とは永久歯が時期になっても、生えないことです。永久歯が歯茎の中などで止まってしまい、乳歯が抜けても永久歯と生え替わらなかったり、乳歯が抜けても歯茎から出てこないことです。原因は顎の小ささや歯の大きさ、遺伝、先天的な異常などあります。
【治療例】
埋伏歯
12歳7ヶ月女子 下顎左側第一大臼歯埋伏歯
「治療内容」:下顎左側第一大臼歯開窓・牽引術ならびに上下顎マルチブラケット装置使用にて治療
「治療期間・回数」:動的治療期間3年8ヶ月、35回
「治療費用(税込)」:78万円程度
「リスク・副作用」:歯の移動に伴う痛みが生じる場合がある。装置の影響で口内炎が生じることがある。歯の舌側の装置の場合、装着後数日は発音障害が出ることがある。ブラッシングが不十分な場合に虫歯ができることがある。歯の移動の際、稀に歯根の吸収が起こることがある。骨性癒着等により、埋伏歯の牽引が困難な場合がある。矯正用ゴムを指示通りに使用しないと治療計画どおりの結果が得られないことがある。
埋伏歯
交叉咬合
上下のあごが正しい位置で噛み合っておらず、前後左右にずれている様子です。
マウスピースなどで正しい位置に戻したり、あごの大きさを修正することで、正しく噛み合うようにします。
【治療例】
交叉咬合(小児)
7歳8ヶ月女児 交叉咬合、反対咬合
「治療内容」:1次治療 側方拡大装置による交叉咬合の改善、リンガルアーチによる反対咬合改善後、上顎前方牽引装置使用にて顎成長管理、2次治療 非抜歯・上下顎マルチブラケット装置使用にて治療
「治療期間・回数」:1次治療 4年6ヶ月・26回、2次治療 3年6ヶ月・20回
「治療費用(税込)」:1次治療38万円程度、2次治療37万円程度
「リスク・副作用」:歯の移動に伴う痛みが生じる場合がある。装置の影響で口内炎が生じることがある。歯の舌側の装置の場合、装着後数日は発音障害が出ることがある。ブラッシングが不十分な場合に虫歯ができることがある。歯の移動の際、稀に歯根の吸収が起こることがある。矯正用ゴムを指示通りに使用しないと治療計画どおりの結果が得られないことがある。下顎の過成長により治療方針変更の可能性がある。
交叉咬合
16歳1ヶ月女子 交叉咬合、叢生
「治療内容」:拡大装置にて側方拡大後、上下顎第一小臼歯抜歯、上下顎マルチブラケット装置使用にて治療
「治療期間・回数」:動的治療期間3年4ヶ月、32回
「治療費用(税込)」:78万円程度
「リスク・副作用」:歯の移動に伴う痛みが生じる場合がある。装置の影響で口内炎が生じることがある。歯の舌側の装置の場合、装着後数日は発音障害が出ることがある。ブラッシングが不十分な場合に虫歯ができることがある。歯の移動の際、稀に歯根の吸収が起こることがある。矯正用ゴムを指示通りに使用しないと治療計画どおりの結果が得られないことがある。
顎変形症
下あごが前にでている、もしくは上あごが前にでている、また上下の歯を噛みあわせた時に、中心がずれているためちゃんと咬み合わない場合は、顎変形症の可能性が高いです。症状としては、ちゃんと噛んで食事を摂れない、また聞き取りづらい発音がある、唇がうまく閉じられないなどになります。
まず歯並びを正しくし、その後に外科手術行います。基本的には骨の成長が終わった大人の方に治療を行います。
【治療例】
下顎前突(外科的矯正治療)
16歳3ヶ月女子 骨格性下顎前突症、顔面非対称
「治療内容」:非抜歯、上下顎マルチブラケット装置使用ならびに顎骨骨切り移動術にて治療
「治療期間・回数」:動的治療期間4年1ヶ月、39回
「治療費用(税込)」:保険診療
「リスク・副作用」:歯の移動に伴う痛みが生じる場合がある。装置の影響で口内炎が生じることがある。歯の舌側の装置の場合、装着後数日は発音障害が出ることがある。ブラッシングが不十分な場合に虫歯ができることがある。歯の移動の際、稀に歯根の吸収が起こることがある。矯正用ゴムを指示通りに使用しないと治療計画どおりの結果が得られないことがある。
上顎前突(外科的矯正治療)
23歳5ヶ月女性 骨格性上顎前突症、過蓋咬合
「治療内容」:非抜歯、上下顎マルチブラケット装置使用ならびに顎骨骨切り移動術にて治療
「治療期間・回数」:動的治療期間3年11ヶ月、32回
「治療費用(税込)」:保険診療
「リスク・副作用」:歯の移動に伴う痛みが生じる場合がある。装置の影響で口内炎が生じることがある。歯の舌側の装置の場合、装着後数日は発音障害が出ることがある。ブラッシングが不十分な場合に虫歯ができることがある。歯の移動の際、稀に歯根の吸収が起こることがある。矯正用ゴムを指示通りに使用しないと治療計画どおりの結果が得られないことがある。
奥歯の大きさや長さ、あごの大きさの影響で噛み合わせの支点が変わり、噛み合うのは奥歯だけで前歯が噛み合っていない状態です。
奥歯の位置や高さを調整し、正しい位置で噛めるようにします。






















